平和牙體技術所
  • ( 繁中 )
    • 繁中
    • EN
    CLOSE
  • 關於平和
    About Us
  • 產品與服務
    Products & Services
    • 回上一頁
    • 平和的產品
    • 平和的服務
  • 設備介紹
    Appliances
  • CASE分享
    Case Presentation
  • 平和Talks
  • Contact Us
    中文服務
  • ( 繁中 )
    • 回上一頁
    • 繁中
    • EN
  • Copyright © 2019 MIRACLE

CASE分享

  • 首頁
  • CASE分享
14-24 veneer
12 全鋯冠
11 全瓷冠(e.lab)
11 全瓷冠
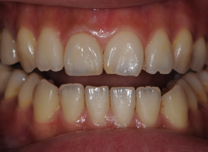
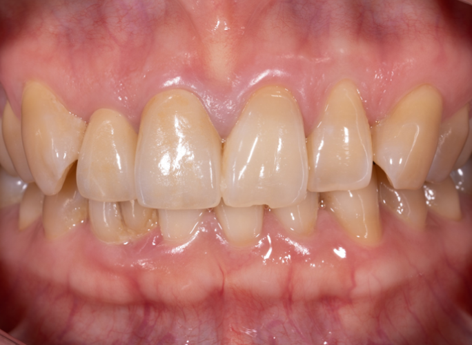
13-23 veneer
1-45 全瓷冠
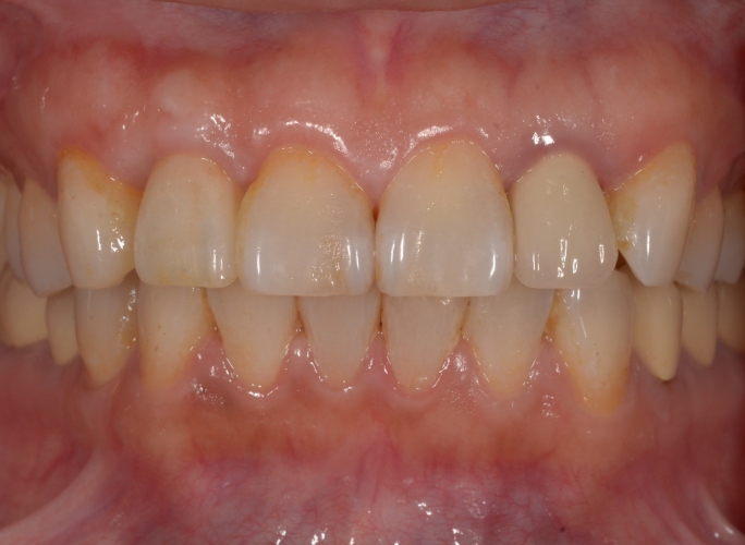
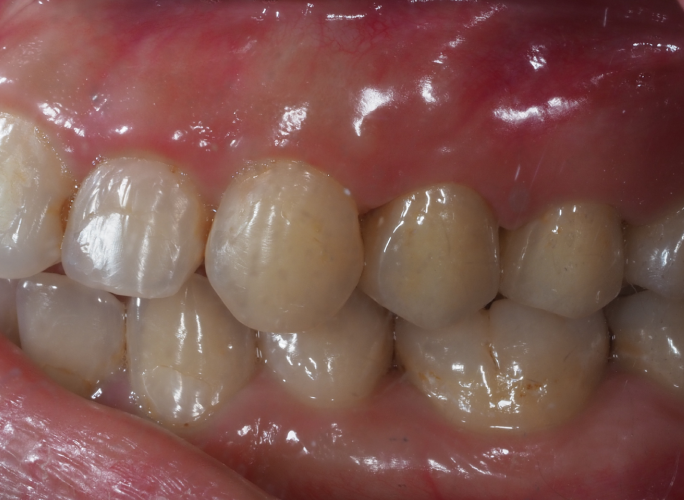
13-23 veneer

聯絡
我們

Contact Us

Tel:+886-2-8511-2188
Fax:+886-2-8511-2199
E-mail:h5014@pingho.com.tw
Add:241-新北市三重區光復路一段83巷5號10樓

採用全球最先進SSL 256bit 傳輸加密機制

建議使用Chrome、Firefox、
Safari最新版本瀏覽

Designed by 米洛網頁設計